Obstetric Sonography
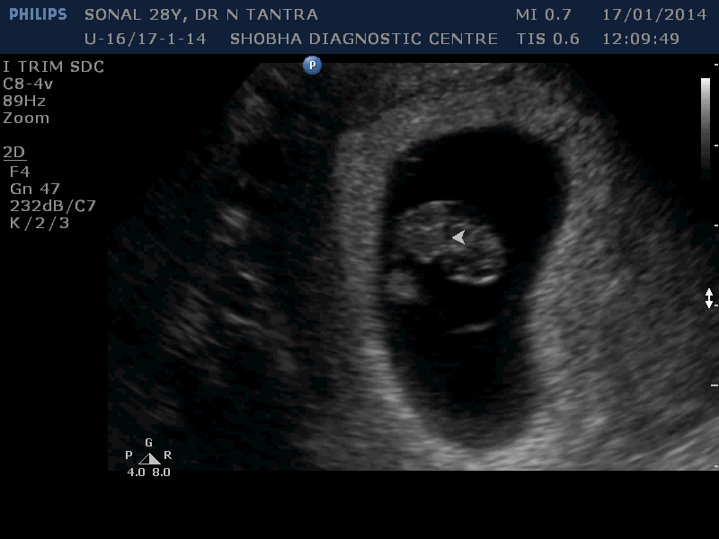
Early Sonography
WHEN IT IS DONE?
Before 10 weeks
WHAT DOES IT TELL ABOUT MY BABY SO EARLY?
- It tells you the exact duration of pregnancy.
- It rules out pregnancy lying outside the uterus at early stage to safeguard your life.
- It tells you whether it is single or multiple pregnancies (Twins / Triplets).
- If you have observed any spotting or bleeding.
For this, Sonography is done vaginally (internal examination).
- It does not cause any harm to your baby.
WHY SHOBHA DIAGNOSTIC CENTRE?
- State of art equipment
- Experienced and highly qualified doctors



