Facilities / Patient Information
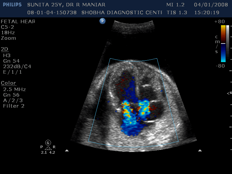
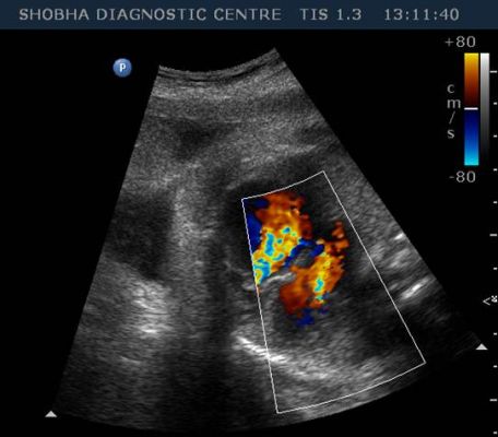
Fetal Echocardiography
Incidence of Congenital Heart Disease (CHD) is 8:1000
The incidence of major Congenital Heart Disease (CHD) is 3:1000
Indications for fetal echocardiography
- Abnormalities on ultrasound scan
- Raised Nuchal Translucency (NT)
- Single umbilical artery
- Any major structural abnormality like omphalocele, renal anomalies, diaphragmatic hernia.
- Previous child with Congenital Heart Disease.
- Unexplained sudden neonatal or infant death in previous pregnancy.
- Diabetes mellitus in mother: risk is 3% i.e. 30 in 1000 (as compared to 8:1000 in general population)
- If a parent has Congenital Heart Disease.
- Unexplained polyhydramnios or non-immune hydrops fetalis.
- Fetal arrhythmias.
- As a part of targeted anomaly scan in high risk patients like elderly primi.
WHAT IS THE BEST TIME FOR FETAL ECHOCARDIOGRAPHY?
It is best done between 19 to 22 weeks.
WE ROUTINELY DO FETAL ECHOCARDIGRAPHY AT OUR CENTRE
WHAT IF THE SONOGRAPHY DETECTS SOME PROBLEM IN MY BABY?
You will be told that a problem has been found.
Your doctor will be informed about it.
After consulting your doctor if you and your doctor wish to discuss this problem with a specialist we also arrange for these meetings. This will happen within few days.
Sometimes you may be required to come back to clinic for a repeat scan. You will be explained about it as to why a repeat scan has been asked for.
WHY Do it at SHOBHA DIAGNOSTIC CENTRE?
- Latest equipment with 3D/ 4D facility
- Dedicated, experienced team of radiologist



